Revista Médica Electrónica de PortalesMedicos.com
Artículos, casos clínicos, tesis, monografías, imágenes, publicaciones científicas - ISSN 1886-8924
Especialidad: Neurocirugía
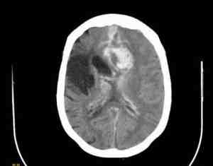
Glioblastoma multiforme
Glioblastoma multiforme
Resumen
Es el tumor más común y más maligno
entre las neoplasias de la glía. Puede manifestarse a cualquier edad,
pero afecta principalmente a adultos, con un pico de incidencia entre
los 45 y los 70 años. Se presenta habitualmente en los hemisferios
cerebrales, siendo menos frecuente su localización en el tronco del
encéfalo o la médula espinal.
entre las neoplasias de la glía. Puede manifestarse a cualquier edad,
pero afecta principalmente a adultos, con un pico de incidencia entre
los 45 y los 70 años. Se presenta habitualmente en los hemisferios
cerebrales, siendo menos frecuente su localización en el tronco del
encéfalo o la médula espinal.
Caso clínico. Paciente con hemorragia intraparenquimatosa en tratamiento con Sintrom
Caso clínico. Paciente con hemorragia intraparenquimatosa en tratamiento con Sintrom
RESUMEN
Este trabajo muestra el modelo de
Virginia Henderson como referencia, realizándose un plan de cuidados a
partir de las necesidades alteradas a un paciente diagnosticado de un
accidente cerebrovascular.
Virginia Henderson como referencia, realizándose un plan de cuidados a
partir de las necesidades alteradas a un paciente diagnosticado de un
accidente cerebrovascular.
Como objetivos se pretende identificar
las necesidades actuales del paciente y establecer un plan de cuidados
individualizado, cubriendo y resolviendo sus problemas, constituyendo
una estructura que cubra todas sus necesidades.
las necesidades actuales del paciente y establecer un plan de cuidados
individualizado, cubriendo y resolviendo sus problemas, constituyendo
una estructura que cubra todas sus necesidades.
Melanoma Coroideo. A propósito de un caso
Melanoma Coroideo. A propósito de un caso
RESUMEN:
El melanoma de coroides es el tumor
primario más frecuente de la úvea (aproximadamente el 80% de los casos).
El melanoma de coroides puede originarse de nevos preexistentes.
Existen varios tipos histológicos con pronóstico variado. Inicialmente
el melanoma muestra una forma aplanada o lenticular y posteriormente
cuando rompe la membrana de Bruch, puede adquirir la forma de champiñón
característica, asociada caso invariablemente con desprendimiento de
retina seroso o hemorrágico.
primario más frecuente de la úvea (aproximadamente el 80% de los casos).
El melanoma de coroides puede originarse de nevos preexistentes.
Existen varios tipos histológicos con pronóstico variado. Inicialmente
el melanoma muestra una forma aplanada o lenticular y posteriormente
cuando rompe la membrana de Bruch, puede adquirir la forma de champiñón
característica, asociada caso invariablemente con desprendimiento de
retina seroso o hemorrágico.
Craneofaringioma infantil. Reporte de un caso
Craneofaringioma infantil. Reporte de un caso
RESUMEN
Los craneofaringiomas representan
aproximadamente 6-10% de los tumores cerebrales en la población
pediátrica. Su manifestación clínica puede variar desde un estado
asintomático hasta un amplio espectro de síntomas neurológicos,
psicológicos, visuales y endocrinos. Presentamos el caso de una escolar
femenina de 9 años de edad con craneofaringioma diagnosticado por
tomografía simple de cerebro y resonancia magnética nuclear (RMN). Fue
referido y hospitalizado por presentar deshidratación moderada.
aproximadamente 6-10% de los tumores cerebrales en la población
pediátrica. Su manifestación clínica puede variar desde un estado
asintomático hasta un amplio espectro de síntomas neurológicos,
psicológicos, visuales y endocrinos. Presentamos el caso de una escolar
femenina de 9 años de edad con craneofaringioma diagnosticado por
tomografía simple de cerebro y resonancia magnética nuclear (RMN). Fue
referido y hospitalizado por presentar deshidratación moderada.
Diagnóstico de Embolia Aérea durante una craneotomía
Diagnóstico de Embolia Aérea durante una craneotomía
Resumen
La embolia aérea es una complicación
relativamente frecuente de la cirugía de fosa posterior en posición de
sedestación, aunque puede producirse durante cualquier procedimiento
quirúrgico en que el campo quirúrgico esté 5 cm o más por encima del
nivel de la aurícula derecha. Para realizar el diagnóstico y tratamiento
rápido, es importante la correcta monitorización intraoperatoria
independientemente de la posición quirúrgica.
relativamente frecuente de la cirugía de fosa posterior en posición de
sedestación, aunque puede producirse durante cualquier procedimiento
quirúrgico en que el campo quirúrgico esté 5 cm o más por encima del
nivel de la aurícula derecha. Para realizar el diagnóstico y tratamiento
rápido, es importante la correcta monitorización intraoperatoria
independientemente de la posición quirúrgica.
Traumatismos craneoencefálicos y Medicina General
Traumatismos craneoencefálicos y Medicina General
RESUMEN:
Los traumatismos craneoencefálicos,
suponen una causa importante de morbimortalidad en jóvenes. Son muy
importantes en Atención Primaria, considerándose la causa más frecuente
de epilepsia en adolescente y adultos jóvenes, y es la primera causa de
pérdida de conciencia de instauración brusca. Analizaremos los diversos
traumatismos craneoencefálicos: fracturas de cráneo, conmoción,
contusión, cizallamiento, hemorragias cerebrales, lesión axonal difusa,
hematoma subdural y hematoma epidural. Para su valoración se utiliza la
escala de Glasgow. El TAC, prueba radiológica asociada para analizar las
lesiones intracraneales.
suponen una causa importante de morbimortalidad en jóvenes. Son muy
importantes en Atención Primaria, considerándose la causa más frecuente
de epilepsia en adolescente y adultos jóvenes, y es la primera causa de
pérdida de conciencia de instauración brusca. Analizaremos los diversos
traumatismos craneoencefálicos: fracturas de cráneo, conmoción,
contusión, cizallamiento, hemorragias cerebrales, lesión axonal difusa,
hematoma subdural y hematoma epidural. Para su valoración se utiliza la
escala de Glasgow. El TAC, prueba radiológica asociada para analizar las
lesiones intracraneales.
Trasplante autólogo de células madre de medula ósea al disco intervertebral. Estudio abierto
Trasplante autólogo de células madre de medula ósea al disco intervertebral. Estudio abierto
Resumen
Propósito: Se realizó el
trasplante de células madre en siete pacientes diagnosticados con
enfermedad degenerativa de un solo disco intervertebral para evaluar la
seguridad del proceder y la tolerancia a las células trasplantadas.
trasplante de células madre en siete pacientes diagnosticados con
enfermedad degenerativa de un solo disco intervertebral para evaluar la
seguridad del proceder y la tolerancia a las células trasplantadas.
Método: Las células fueron
extraídas de medula ósea del propio paciente, aisladas por el método de
Ficoll-Hypaque e implantadas en los discos seleccionados como grados II y
III de la clasificación de Pfirrmann por imágenes de resonancia. Se
evaluaron los resultados al año del injerto.
extraídas de medula ósea del propio paciente, aisladas por el método de
Ficoll-Hypaque e implantadas en los discos seleccionados como grados II y
III de la clasificación de Pfirrmann por imágenes de resonancia. Se
evaluaron los resultados al año del injerto.
Fístula Carótido-Cavernosa. Presentación de un caso
Fístula Carótido-Cavernosa. Presentación de un caso
RESUMEN
El reporte del presente caso está dado
por su poca prevalencia. Las fístulas carótido – cavernosas resultan de
la producción de una comunicación anormal entre la arteria carótida
interna, externa o sus ramas y el seno cavernoso. Tienen múltiples
causas entre ellas las más frecuentes son los aneurismas, las
malformaciones vasculares y los traumatismos. Se presenta paciente JLP
de 58 años de edad con antecedentes de haber sufrido una caída hace dos
meses golpeándose la cabeza en la región occipital acompañado de
otorragia derecha.
por su poca prevalencia. Las fístulas carótido – cavernosas resultan de
la producción de una comunicación anormal entre la arteria carótida
interna, externa o sus ramas y el seno cavernoso. Tienen múltiples
causas entre ellas las más frecuentes son los aneurismas, las
malformaciones vasculares y los traumatismos. Se presenta paciente JLP
de 58 años de edad con antecedentes de haber sufrido una caída hace dos
meses golpeándose la cabeza en la región occipital acompañado de
otorragia derecha.
Aplicar
el cuidado de enfermería a paciente con tumor cerebral (loe)
hospitalizado en el área de observación del IVSS Dr. José María Carabaño
Tosta
Aplicar el cuidado de
enfermería a paciente con tumor cerebral (loe) hospitalizado en
el área de observación del IVSS Dr. José María Carabaño Tosta
RESUMEN
La investigación tuvo como propósito
aplicar el proceso de enfermería a una paciente de 53 años de edad, con
un diagnóstico médico de Tumor Cerebral (LOE) Fronto Parietal Derecho,
la cual se trata de una lesión ocupante de espacio y va acompañada de
ciertos síntomas como lo son: cefaleas de fuerte intensidad y
convulsiones, se encuentra hospitalizada en el área de observación de la
emergencia de adultos del Ivss Dr. José maría Carabaño Tosta.
aplicar el proceso de enfermería a una paciente de 53 años de edad, con
un diagnóstico médico de Tumor Cerebral (LOE) Fronto Parietal Derecho,
la cual se trata de una lesión ocupante de espacio y va acompañada de
ciertos síntomas como lo son: cefaleas de fuerte intensidad y
convulsiones, se encuentra hospitalizada en el área de observación de la
emergencia de adultos del Ivss Dr. José maría Carabaño Tosta.
Traumatismo craneoencefálico leve en paciente en tratamiento con anticoagulante oral
Traumatismo craneoencefálico leve en paciente en tratamiento con anticoagulante oral
Caso clínico
Paciente mujer de 85 años traída a
urgencias en ambulancia por deterioro de su estado general con afasia e
imposibilidad de deambulación progresiva tras caída en domicilio cuatro
días antes con traumatismo craneoencefálico sin pérdida de conocimiento.
urgencias en ambulancia por deterioro de su estado general con afasia e
imposibilidad de deambulación progresiva tras caída en domicilio cuatro
días antes con traumatismo craneoencefálico sin pérdida de conocimiento.
Schwanoma epitelioide maligno del nervio cubital. Presentación de un caso infrecuente y revisión de literatura
Schwanoma epitelioide maligno del nervio cubital. Presentación de un caso infrecuente y revisión de literatura
Resumen
El schwannoma maligno es una neoplasia
poco frecuente que representa entre el 5 y el 10% de todos los sarcomas
de tejidos blandos.
poco frecuente que representa entre el 5 y el 10% de todos los sarcomas
de tejidos blandos.
Presentamos el caso clínico de una mujer
de 72 años que refiere masa de partes blandas en la región volar de la
muñeca izquierda de crecimiento progresivo de 6 meses de evolución.
de 72 años que refiere masa de partes blandas en la región volar de la
muñeca izquierda de crecimiento progresivo de 6 meses de evolución.
Generalidades de Electroencefalografía. Imágenes
Generalidades de Electroencefalografía. Imágenes
La electroencefalografía enriquecida por
el desarrollo de los potenciales evocados está en pleno desarrollo.
Existiendo hoy en día pocas entidades nosológicas que pueden ser
diagnosticadas con certeza por el trazado, y las que pueden ser
diagnosticadas, corresponden en mayor medida al campo de la epilepsia.
el desarrollo de los potenciales evocados está en pleno desarrollo.
Existiendo hoy en día pocas entidades nosológicas que pueden ser
diagnosticadas con certeza por el trazado, y las que pueden ser
diagnosticadas, corresponden en mayor medida al campo de la epilepsia.
El electroencefalograma ha permitido
conocer de forma objetiva los procesos de la conciencia y el sueño, y
los ha rescatado de la apreciación subjetiva.
conocer de forma objetiva los procesos de la conciencia y el sueño, y
los ha rescatado de la apreciación subjetiva.
Tractografía. Técnica neurorradiológica aplicada al estudio de la neuroanatomía
Tractografía. Técnica neurorradiológica aplicada al estudio de la neuroanatomía
Juan José Delgado Moraleda. Estudiante de Medicina en la Universidad de Valencia (España).
Resumen
La tractografía es una nueva técnica de
neuroimagen que deriva de la resonancia magnética. Por medio de técnicas
no invasivas, permite obtener información de la organización de la
sustancia blanca en el cerebro humano. En el trabajo que presentamos se
utiliza la tractografía para elaborar un pequeño atlas en el que
resultan evidentes algunas de las principales vías de conexión.
neuroimagen que deriva de la resonancia magnética. Por medio de técnicas
no invasivas, permite obtener información de la organización de la
sustancia blanca en el cerebro humano. En el trabajo que presentamos se
utiliza la tractografía para elaborar un pequeño atlas en el que
resultan evidentes algunas de las principales vías de conexión.
Trauma craneoencefálico en la unidad de cuidados intensivos
Trauma craneoencefálico en la unidad de cuidados intensivos
Resumen
Introducción: El traumatismo
encefalocraneano constituye uno de los mayores problemas de salud
pública en la sociedad moderna, agravado en los últimos años por el
mayor número de automóviles y otros vehículos que desarrollan altas
velocidades. Objetivo: Caracterizar el trauma craneoencefálico en la
unidad de cuidados intensivos en el periodo entre agosto del 2010 y
abril del 2012. Metodología: se realizó un estudio descriptivo
retrospectivo acerca del trauma craneoencefálico en la unidad de
cuidados intensivos del hospital Camilo Cienfuegos.
encefalocraneano constituye uno de los mayores problemas de salud
pública en la sociedad moderna, agravado en los últimos años por el
mayor número de automóviles y otros vehículos que desarrollan altas
velocidades. Objetivo: Caracterizar el trauma craneoencefálico en la
unidad de cuidados intensivos en el periodo entre agosto del 2010 y
abril del 2012. Metodología: se realizó un estudio descriptivo
retrospectivo acerca del trauma craneoencefálico en la unidad de
cuidados intensivos del hospital Camilo Cienfuegos.
Miasis intracraneal. Presentación de un caso
Miasis intracraneal. Presentación de un caso.
Resumen:
Paciente masculino, 49 años, alcohólico
crónico, sufrió herida penetrante de cráneo con arma blanca 5 días antes
de su ingreso, sin recibir atención médica. Al examen físico se observa
ligera somnolencia, Glasgow de 14 puntos y extensa herida incisa
órbito-fronto-parietal izquierda no reciente con lesión ósea, exposición
de masa encefálica y entallamiento del globo ocular, abundantes larvas
vivas.
crónico, sufrió herida penetrante de cráneo con arma blanca 5 días antes
de su ingreso, sin recibir atención médica. Al examen físico se observa
ligera somnolencia, Glasgow de 14 puntos y extensa herida incisa
órbito-fronto-parietal izquierda no reciente con lesión ósea, exposición
de masa encefálica y entallamiento del globo ocular, abundantes larvas
vivas.
Se le realiza toilette, esquirlectomía,
duroplastia y enucleación del ojo con la extracción de 82 larvas
procedentes del espacio epidural, subdural e intraparenquimatoso y del
interior del globo ocular estallado.
duroplastia y enucleación del ojo con la extracción de 82 larvas
procedentes del espacio epidural, subdural e intraparenquimatoso y del
interior del globo ocular estallado.
Bucle del catéter del golfo de la yugular
Bucle del catéter del golfo de la yugular
Resumen
Los meningiomas son tumores benignos de
crecimiento lento, que representan el 15-20% de los tumores
intracraneales. El 90% de los meningiomas son intracraneales. Es más
común en mujeres en la sexta década de la vida.
crecimiento lento, que representan el 15-20% de los tumores
intracraneales. El 90% de los meningiomas son intracraneales. Es más
común en mujeres en la sexta década de la vida.
La cirugía es el tratamiento de elección
para la mayoría de los pacientes con meningiomas. La monitorización de
la saturación venosa de oxígeno del golfo de la yugular (SjO2) forma
parte de la monitorización multimodal en el paciente neurológico.
para la mayoría de los pacientes con meningiomas. La monitorización de
la saturación venosa de oxígeno del golfo de la yugular (SjO2) forma
parte de la monitorización multimodal en el paciente neurológico.
Afectación neurológica en paciente con anatomía vascular congénita
Afectación neurológica en paciente con anatomía vascular congénita
Introducción
Se desconoce la causa de la malformación
arteriovenosa cerebral (MAV). La afección ocurre cuando las arterias en
el cerebro se conectan directamente con las venas cercanas, sin tener
los vasos normales (capilares) entre ellas.
arteriovenosa cerebral (MAV). La afección ocurre cuando las arterias en
el cerebro se conectan directamente con las venas cercanas, sin tener
los vasos normales (capilares) entre ellas.
Las malformaciones arteriovenosas varían en tamaño y ubicación en el cerebro.
Una ruptura de una malformación
arteriovenosa ocurre debido a la presión y daño al tejido del vaso
sanguíneo. Esto permite que la sangre se escape hacia el cerebro o los
tejidos circundantes y reduce la circulación al cerebro.
arteriovenosa ocurre debido a la presión y daño al tejido del vaso
sanguíneo. Esto permite que la sangre se escape hacia el cerebro o los
tejidos circundantes y reduce la circulación al cerebro.
Hernia discal cervical. Imágenes y breve revisión
Hernia discal cervical. Imágenes y breve revisión.
Resumen:
La hernia discal cervical no es más que
es la salida del núcleo pulposo a través del anillo fibroso, debido a
una lesión del disco intervertebral, dando generalmente como resultado,
un cuadro clínico neurológico por compresión de las raíces nerviosas del
segmento vertebral afectado. La clínica unida a la radiología simple,
constituye el pilar fundamental en el diagnóstico de la hernia discal
cervical.
es la salida del núcleo pulposo a través del anillo fibroso, debido a
una lesión del disco intervertebral, dando generalmente como resultado,
un cuadro clínico neurológico por compresión de las raíces nerviosas del
segmento vertebral afectado. La clínica unida a la radiología simple,
constituye el pilar fundamental en el diagnóstico de la hernia discal
cervical.
Morbimortalidad del trauma craneoencefálico grave en el servicio de emergencia
Morbimortalidad del trauma craneoencefálico grave en el servicio de emergencia.
RESUMEN
Introducción: El traumatismo
craneoencefálico (TCE) implica una serie de cambios que se presentan en
un paciente que recibe trauma en la cabeza; comprende diversos cuadros
clínicos que van desde la mínima conmoción (“ver estrellas”. con un
golpe) hasta las lesiones más severas y complejas que pueden producir la
muerte.
craneoencefálico (TCE) implica una serie de cambios que se presentan en
un paciente que recibe trauma en la cabeza; comprende diversos cuadros
clínicos que van desde la mínima conmoción (“ver estrellas”. con un
golpe) hasta las lesiones más severas y complejas que pueden producir la
muerte.
Método: Se realizó un estudio
descriptivo transversal retrospectivo sobre la morbimortalidad en
pacientes con diagnóstico de traumatismo craneoencefálico grave
admitidos en el servicio de emergencia de la clínica Simón Bolívar, en
los años 2008 y 2009,
descriptivo transversal retrospectivo sobre la morbimortalidad en
pacientes con diagnóstico de traumatismo craneoencefálico grave
admitidos en el servicio de emergencia de la clínica Simón Bolívar, en
los años 2008 y 2009,
El universo del trabajo estuvo
conformado por los pacientes con el diagnóstico de traumatismo
craneoencefálico del cual se obtuvo la muestra con los pacientes que
presentaron un trauma craneoencefálico grave. Resultados: Se incluyeron
57 pacientes de ellos 39 (68.42%) fueron masculinos y 18 (31.57%)
femeninos, en ambos sexos predominaron los grupos de edad comprendida
entre 14-25 años con 24 (42.10%).
conformado por los pacientes con el diagnóstico de traumatismo
craneoencefálico del cual se obtuvo la muestra con los pacientes que
presentaron un trauma craneoencefálico grave. Resultados: Se incluyeron
57 pacientes de ellos 39 (68.42%) fueron masculinos y 18 (31.57%)
femeninos, en ambos sexos predominaron los grupos de edad comprendida
entre 14-25 años con 24 (42.10%).













No hay comentarios:
Publicar un comentario